10月30日,国家药品监督管理局(NMPA)批准了乐普生物自主研发的表皮生长因子受体(EGFR)靶向创新型抗体药物偶联物(ADC)MRG003(美佑恒®,注射用维贝柯妥塔单抗)上市,这一消息如同一声春雷,在癌症治疗领域引起了轩然大波,让无数鼻咽癌患者和家属为之欢呼雀跃。

请想象这样一个场景:一位与复发/转移性鼻咽癌抗争多年的患者,已经历了化疗的摧枯拉朽,也尝试了免疫疗法的峰回路转,然而,患者最终还是产生了耐药,病情再次进展,前路似乎已被堵死。就在这时“有新药获批了!”这一刻,对于经历过至少二线系统化疗和PD-1/PD-L1抑制剂治疗失败的复发/转移性鼻咽癌患者而言,宛如漫漫长夜后终于等来了破晓时分。
关于ADC药物
MRG003所属的抗体药物偶联物(ADC),是近年来肿瘤治疗领域最耀眼的明星之一,被誉为“魔法子弹”。这类药物将抗体的靶向性和小分子细胞毒性药物的强大杀伤力完美结合。简单来说,ADC药物由抗体、连接子和细胞毒性药物(亦称有效载荷)组成。
ADC的抗体能够识别癌细胞表面的靶抗原形成ADC-抗原复合物,该复合物通过内吞作用进入细胞。在溶酶体中,ADC通过化学降解或酶切作用释放有效载荷,进而发挥细胞毒性效应。通过融合抗体的选择性与小分子药物的高效力,ADC能够将有效载荷精准递送至靶向癌细胞,同时最大限度地降低全身毒性。

ADC的优势
抗体偶联药物(ADC)与普通靶向药物或化疗药物的区别主要体现在以下几个方面:
1.传统抗体药物通过抑制特定信号通路或生理过程来阻断肿瘤生长;而ADC的抗体组分与肿瘤细胞表面靶抗原结合后,其细胞毒性载荷可通过直接抑制肿瘤细胞有丝分裂或破坏DNA结构发挥抗肿瘤作用.因此ADC比抗体具有更强的杀伤效力,同时因其靶向特异性,系统毒性低于常规化疗药物,安全性更优.
2.对现有靶向治疗产生耐药的患者,作用于相同靶点的ADC仍可能有效,这将进一步拓展其抗肿瘤适应症。例如在乳腺癌重要靶点人表皮生长因子受体2(HER2)中,抗HER2治疗失败的转移性乳腺癌患者使用ADC药物德曲妥珠单抗(Enhertu,DS-8201)仍能获得持续获益。
3.ADC还能攻克新的治疗靶点,以靶向人滋养细胞表面抗原2(TROP2)的芦康沙妥珠单抗(sac-TMT)为例,该药物为晚期非小细胞肺癌以及三阴性乳腺癌提供了新的治疗途径,TROP2也有望成为多种实体瘤的新兴治疗靶点。目前获批的ADC药物主要靶向癌细胞中过度表达的特定蛋白,包括HER2、Trop2、Nectin4、EGFR、CD19、CD22、CD33等。
MRG003正是这样一枚设计精良的“生物导弹”,它由EGFR靶向单克隆抗体与强效的微管蛋白抑制有效载荷一甲基澳瑞他汀E分子通过缬氨酸-瓜氨酸链接体偶联而成。以高亲和力特异性地结合肿瘤细胞表面的EGFR,通过内吞及溶酶体蛋白酶裂解后释放强效的有效载荷,从而导致肿瘤细胞死亡。
鼻咽癌数据亮眼:II期临床结果证实卓越疗效
2025年欧洲肿瘤内科学会(ESMO)大会上公布了MRG003联合PD-1单抗(普特利单抗)的II期临床试验结果。证明了MRG003在鼻咽癌治疗中的强硬实力。
确认客观缓解率(ORR)和疾病控制率(DCR)分别达到了73.3%和93.3%,这意味着大部分患者的肿瘤得到了不同程度的缩小或控制。中位无进展生存期(PFS)为10.9个月,中位缓解持续时间(DoR)为12.1个月,其中还有12例患者仍处于持续缓解状态。中位总生存期(OS)尚未达到,12个月和18个月的OS率分别高达92.8%和85.7%。
这对于那些已经经历了多次治疗失败的鼻咽癌患者来说,无疑是一个巨大的福音,有可能为患者带来长期的生存获益。

头颈鳞癌新突破:高缓解率与持久疗效
MRG003的光芒并未止步于鼻咽癌。同一ESMO大会上,其在头颈鳞癌(SCCHN)中的数据同样引人注目。
在头颈鳞癌的II期研究中,纳入了37例复发或转移性SCCHN患者,在高剂量治疗组取得了60%的客观缓解率(ORR)以及100%疾病控制率的卓越成绩,且所有缓解患者仍在持续缓解中,12个月的DoR率保持100%!且安全性表现良好。

肺癌领域显潜力:MRG003令晚期患者病灶显著缩小
在非小细胞肺癌方面,MRG003同样展现出可观的疗效。
在一项评估MRG003在EGFR阳性晚期非小细胞肺癌(NSCLC)患者中的疗效和安全性的II期临床试验中,3例接受EGFR-TKI或化疗超过一年后出现疾病进展的患者接受了MRG003治疗,并且目标病灶的总直径均减少了50%以上,达到部分缓解(PR)。具体详情如下:
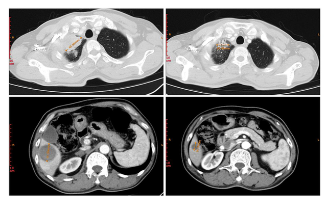
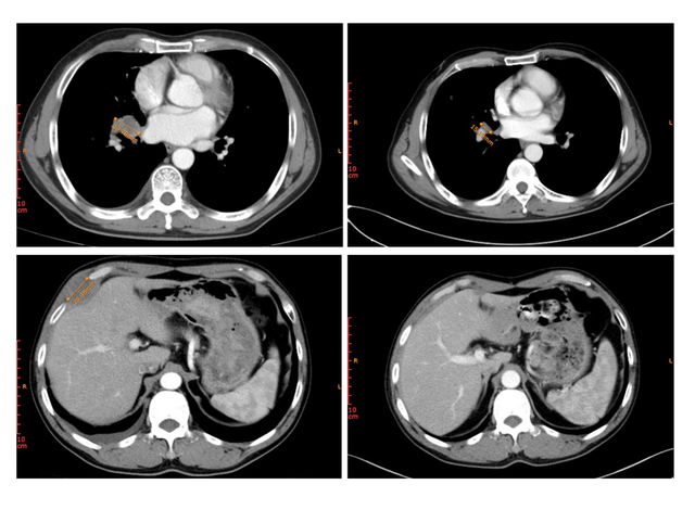
患者1是一名晚期原发性支气管肺癌,在治疗前发现右肺上叶病变以及肝转移,在MRG003治疗后靶病灶总和缩小了超过一半(51.1%)。

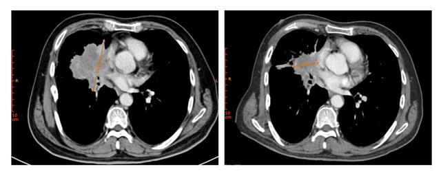
患者2为右肺腺癌患者,治疗前右门病变与右胸壁转移性肿瘤大小将近30mm,MRG003治疗后右门病变从29.78mm缩小至15.19mm,而右侧胸壁转移瘤已经几乎看不见。

患者3为晚期肺鳞癌,化疗进展后接受MRG003治疗,右肺门处病灶同样在MRG003治疗后得到显著缩小,靶病灶直径总和缩小54.1%。

综上可见,MRG004A所展现出的令人鼓舞的疗效,为肺癌治疗带来了希望。未来有望惠及更多领域的肿瘤患者。
结语
MRG003的获批上市,是国内癌症治疗领域的一个重要突破。它为癌症患者提供了一种全新的治疗选择,有望改变许多癌症患者的命运。随着对ADC药物研究的不断深入,相信未来会有更多的创新型ADC药物问世,为癌症治疗带来更多的惊喜。同时,我们也期待着MRG003能够在更多的癌症类型中进行临床试验,进一步拓展其治疗范围,让更多的患者受益。