游戏百科

晚期癌症患者的新选择:TCR-T疗法国际案例显示肿瘤缩小超50%,国内胰腺癌试验首例缓解

近年来,细胞免疫疗法一直是一个令人鼓舞的发展领域。嵌合抗原受体(CAR)T细胞疗法在血液系统恶性肿瘤中的成功应用展示了细

近年来,细胞免疫疗法一直是一个令人鼓舞的发展领域。嵌合抗原受体(CAR)T细胞疗法在血液系统恶性肿瘤中的成功应用展示了细胞免疫疗法的巨大潜力。然而,CAR-T疗法在治疗实体瘤的疗效有限(实体瘤占所有癌症的90%以上)。这是由于CAR-T细胞只能识别位于细胞表面的抗原,相比之下,T细胞受体(TCR)工程化T细胞疗法(TCR-T细胞疗法)可以识别细胞表面和细胞中的抗原,使其适用于更广泛的肿瘤类型。

关于TCR-T细胞疗法

T细胞受体(TCR)工程化T细胞疗法(TCR-T细胞疗法)类似于CAR-T细胞疗法。两者都涉及从患者中提取T细胞,在实验室中增强它们并连接特定受体,以便修饰的T细胞可以准确识别和攻击癌细胞。它们之间的区别在于它们识别的抗原。

正如克里斯托弗·克莱巴诺夫博士(Dr. Christopher Klebanoff)所描述的那样,人体中的大多数细胞都会不断自我更新,这是细胞“家务劳动”的一部分。这些细胞将蛋白质分解成小片段,并将这些小片段运输到细胞表面。这些微小的片段不会被抗体等免疫成分识别,但对于T细胞来说,“分子篮”中的这些蛋白质片段就像斗牛场中的红布,会刺激T细胞攻击。当T细胞表面的受体与特定的蛋白质片段完全匹配时,它将与其结合并触发T细胞杀死细胞。

TCR-T细胞疗法通过识别人类白细胞抗原(HLA)呈递给T细胞的癌症抗原而起作用。HLA属于主要组织相容性复合体(MHC)的组成部分,其结构包含被称为肽段的蛋白质片段。

当这些肽段源自癌性蛋白时,HLA便会将其呈递给工程化T细胞受体。此时T细胞立即启动攻击程序,它们能特异性识别健康细胞表面不存在的异常肽段,从而实现精准杀伤。

TCR-T细胞疗法的技术优势

1.与CAR-T细胞疗法相比,TCR-T细胞可识别的抗原范围更广。与仅能识别细胞外表面抗原的CAR-T细胞不同,TCR-T细胞不仅能识别细胞外表面抗原,还能识别细胞内抗原。

2.TCR-T细胞沿用了T细胞天然的信号传导机制,因为TCR信号转导通路中的所有辅助分子都得以保留。这意味着,即便仅有少量抗原存在,TCR-T细胞也能被充分激活;研究显示,TCR甚至能对单个抗原-MHC复合物产生细胞毒性应答。相比之下,CAR-T细胞通常需要数千个靶标表面分子才能介导有效反应。

3.CAR会引发超生理水平的T细胞激活及过度细胞因子分泌,但TCR基于天然信号传导的特性使其细胞因子分泌量更低,从而减少了细胞因子释放综合征等不良反应风险。

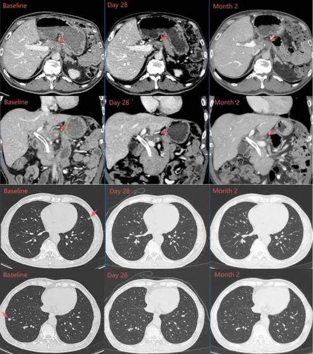
镔铁生物IX001注射液让晚期胰腺癌患者肿瘤显著缩小

最近,来自中国的一项成功的临床研究提供了一个令人鼓舞的现实世界的例子,并在胰腺癌领域取得了重要进展。9月17日,镔铁生物宣布其自主研发的IX001 TCR-T注射液在治疗晚期胰腺癌的临床试验中实现了首例患者的部分缓解(PR)。

该患者为62岁男性,患有晚期胰腺导管腺癌,在经历三线标准治疗后均无效,基因检测确认其肿瘤存在KRAS G12V突变,于是接受IX001 TCR-T细胞输注。

IX001 TCR-T注射液是一款针对KRAS G12V突变TCR-T细胞疗法,KRAS基因突变在各种癌症中都非常常见,特别是在胰腺癌、结直肠癌和肺癌等恶性肿瘤中更为普遍。KRAS突变与肿瘤的发生、发展和预后密切相关,因此开发针对KRAS基因突变的癌症疫苗具有重要的临床意义。

在接受TCR-T细胞输注后,该患者肿瘤标志物CA19-9在28天内从889U/mL降至正常范围,1个月的复查显示肝门区靶病灶明显缩小、肺部靶病灶基本完全消失,靶病灶直径之和从基线期的67mm缩小至43mm(下降35.8%),达到部分缓解(PR);两个月时病灶进一步缩小至47.8%,持续部分缓解状态。

该案例强有力地证明了TCR-T细胞疗法的强大攻击能力。事实上,类似的有效性在国际研究中已有佐证。

肺癌领域再传佳音:肿瘤持续缩小超50%

2022年9月,Alaunos Therapeutics在第六届国际癌症免疫治疗会议(CICON)中公布其TCR-T细胞疗法用于晚期非小细胞肺癌患者的病例报告。该患者在6周时达到部分缓解,目标病灶消退46.3%,12周时肿瘤病灶缩小51.2%。患者1为KRAS G12D突变的肺腺癌患者,既往接受手术、化疗、PD-L1抑制剂治疗等,病情进展后接受TCR-T治疗。TCR-T治疗6周后,右下叶肿瘤实现完全缓解(CR)。

TCR治疗12周后,右上肺叶肿瘤也从1.3cm缩小至1.0cm。

右侧肝门淋巴结病变和右上叶不可测量病变缩小。

由此可见,TCR-T细胞疗法在既往接受过治疗的晚期非小细胞肺癌患者中也具有良好的效果。

注意

然而,与所有强效的医疗干预一样,TCR-T疗法也可能伴随一系列副作用,部分与CAR-T疗法后的反应相似,另一些则由用于刺激免疫系统的药物引起。TCR疗法的副作用可能包括:高热寒战、恶心反胃、食欲减退、头痛头晕等神经系统症状、严重疲乏感与虚弱感、血细胞计数降低、体液潴留(可能增加心肺负担),建议在详细了解或与医生讨论后再行治疗。

结语

TCR-T细胞疗法作为一种新兴的癌症免疫治疗方法,具有广阔的应用前景。它跨越了CAR-T疗法在实体瘤面前的鸿沟,直指癌细胞的内部。尽管前路依然布满荆棘,但科学的发展日新月异,相信在不久的将来,TCR-T细胞疗法将逐步发展成为多种实体瘤的重要治疗方案,为全球数百万患者带来真正意义上的治愈希望。