游戏百科

持续缓解两年!CAR-NK细胞疗法,一款更安全、更普惠的“抗癌利器”,为癌症治疗带来新曙光

在过去的几年中,癌症治疗领域发生了重大变化,其中之一是免疫疗法的兴起,特别是嵌合抗原受体(CAR)T细胞疗法。CAR-T

在过去的几年中,癌症治疗领域发生了重大变化,其中之一是免疫疗法的兴起,特别是嵌合抗原受体(CAR)T细胞疗法。CAR-T细胞疗法在血液系统恶性肿瘤(如B细胞淋巴瘤和白血病)的治疗中取得了显著的效果,对晚期患者实现了长期缓解甚至“临床治愈”。

然而,CAR-T疗法的辉煌之下,阴影也随之浮现。它的局限性越来越明显:复杂的制备过程,漫长的制备时间,高成本和潜在的严重副作用,如细胞因子释放综合征和神经毒性,促使科学界迫切探索“即用”和更安全的下一代细胞疗法。因此,CAR-NK细胞治疗作为一种新的免疫治疗策略应运而生,并逐渐成为癌症治疗领域的研究热点。

关于CAR-NK细胞疗法

CAR-NK细胞疗法将称为嵌合抗原受体(CAR)的分子连接到自然杀伤(NK)细胞上来增强人体对抗癌症的先天能力。这些受体使增强的CAR-NK细胞能够识别和攻击癌细胞表面的靶标,而部分癌细胞最初在没有CAR的情况下是“不可见的”。

NK细胞

NK细胞是先天免疫系统的一个亚群,在人体防御癌症中起着重要作用。它们是人体抵御感染的第一道防线,由Herberman、Kiessling等人于1976年首次定义。与T细胞和B细胞不同,NK细胞可以通过细胞毒性机制和免疫调节快速识别和消除恶性细胞,而无需事先抗原致敏。

NK细胞通过多种机制靶向恶性细胞,能够通过对原发性恶性细胞和转移性细胞产生天然细胞毒性,抑制肿瘤细胞的增殖和迁移,从而发挥抗癌作用。除此之外,NK细胞还能分泌多种细胞因子,尤其是干扰素-γ(IFN-γ),以调节适应性免疫反应,并参与其他相关的免疫调控通路。更重要的是,NK细胞能够区分恶性细胞与健康细胞,从而减少对健康组织意外损伤的可能性,并减少脱靶效应的发生。

尽管NK细胞可以识别和消除大多数癌细胞,但一些癌细胞会产生机制来避免识别自然杀伤细胞或抑制其活性。例如,癌细胞会分泌免疫抑制性分子(比如IL-10和TGF-β),从而抑制NK细胞功能。此外,肿瘤相关抗原(TAAs)的表达减弱或MHC-I的下调,即减少表达一些肿瘤特征分子,也被认为是肿瘤细胞用于逃避免疫监视的其他机制。

给“NK细胞”装上“精准导航”

但科学家们已经想出了对策。大量的研究表明,通过工程化改造使NK细胞表达嵌合抗原受体(CAR),可能有效克服免疫逃逸问题。他们尝试改造NK细胞,给它们装上一个“导航系统”,叫做嵌合抗原受体(CAR)。这个CAR就像一个“瞄准器”,可以让NK细胞更精准地找到特定的癌细胞,哪怕这些癌细胞试图隐藏自己。

CAR-NK细胞不仅通过选择性识别肿瘤相关抗原(TAAs)的CAR来杀死癌细胞,还可以通过NK细胞自身的受体发挥作用。简单来说:CAR-NK细胞疗法就是给免疫细胞装上“超级瞄准镜”和“强力武器”,让它们更聪明、更有效地去消灭癌细胞,同时尽量不伤害正常细胞。

目前,CAR-NK细胞已经显示出了对血液癌症和实体肿瘤(如乳腺癌等)潜在的治疗效果,这让科学家们对它的未来充满期待。

CAR-NK细胞疗法的优势

1.安全性高:与CAR-T细胞疗法相比,CAR-NK疗法最大的优势之一就是其卓越的安全性。CAR-T疗法虽然疗效显著,但常伴有严重的副作用,比如神经毒性和细胞因子释放综合征(CRS)。然而,CAR-NK细胞在这些方面的发生率明显更低。这主要是因为NK细胞在体内不会像CAR-T细胞那样长期存活和大量增殖,因此可以减少细胞因子的过度释放,降低CRS和神经毒性的发生风险。

2.广谱抗癌:CAR-NK细胞不仅依靠CAR结构靶向特定抗原,还具备独立于CAR的广谱抗癌能力。CAR-T通常只能识别肿瘤细胞上的某一个特定抗原,而NK细胞则可以凭借其先天免疫识别机制,主动检测肿瘤细胞释放的应激信号,或者识别肿瘤细胞表面缺失的HLA I类分子(这是肿瘤逃避免疫监视的常见手段)。

此外,NK细胞还具有抗体依赖性细胞毒性(ADCC)的能力,这是CAR-T细胞所不具备的。因此,CAR-NK细胞能对抗更广泛的肿瘤类型,包括那些可能逃避CAR-T识别的肿瘤。

3.通用型“即用型”:大多数自体CAR-T疗法的生产流程复杂、耗时且成本高昂,需要从每位患者自身提取细胞进行改造。而CAR-NK细胞无需HLA配型,因此大大降低了异体反应和移植物抗宿主病(GVHD)的风险,可实现“现货供应”。并且NK细胞的来源也较为多样,包括:脐带血、诱导多能干细胞等。

总体来看,CAR-NK细胞疗法相比CAR-T具有多重优势,有望成为更安全、更有效的靶向免疫治疗手段。

随着临床研究的不断开展,CAR-NK细胞疗法在血液系统肿瘤以及实体瘤治疗中已经取得了一定的临床成果。

NKX019在复发难治B细胞恶性肿瘤中疗效显著

NKX019是一种冷冻保存的同种异体CD19靶向CAR-NK细胞疗法,在NKX019针对患有复发/难治性(r/r)B细胞恶性肿瘤的1期研究(NCT05020678)中,NKX019显示出持久的疗效。

共有19例B细胞恶性肿瘤患者接受了NKX019治疗,其中包括:14例非霍奇金淋巴瘤患者(大B细胞淋巴瘤、滤泡性淋巴瘤、边缘区淋巴瘤和套细胞淋巴瘤)以及5例白血病患者(包括急性淋巴细胞白血病或慢性淋巴细胞白血病)。结果显示:在不同病理类型中均观察到疗效,共有8例患者达到完全缓解(CR),其中5例是在单次治疗周期后就实现了完全缓解(CR),另有3例患者从部分缓解(PR)进一步加深至完全缓解。

在接受15亿细胞剂量治疗的4例非霍奇金淋巴瘤(NHL)患者中,有3例达到了完全缓解。

在两个较高剂量组中,非霍奇金淋巴瘤(NHL)患者的总缓解率(ORR)为80%,完全缓解率(CR)为70%,其中大B细胞淋巴瘤(LBCL)患者的完全缓解率达到50%。

有5例患者的完全缓解状态持续超过6个月,其中包括1例大B细胞淋巴瘤患者,其完全缓解持续时间超过9个月。

CAR-NK让CAR-T失败的淋巴瘤患者重获新生

浙江某医院就有一位通过CAR-NK细胞疗法成功重获新生的患者——俞女士。患者俞女士多年来深受弥漫大B细胞淋巴瘤(DLBCL)的困扰。尽管她尝试了多种治疗手段,包括:CD20单抗联合CHOP方案等,BTK抑制剂、塞利尼索、维奈克拉,一种比一种贵、一种比一种“高精尖”,但结果并不令人满意。她甚至还接受了120万一针的CAR-T疗法,然而,由于长期化疗严重损害了她的T细胞功能,因此CAR-T治疗未能奏效。

转机出现在CAR-NK疗法:经过专家组的评估,她接受了CAR-NK治疗。值得注意的是,在短短一个月内,俞女士全身的淋巴瘤完全消失,并且持续缓解两年,至今未复发,已回归正常生活!

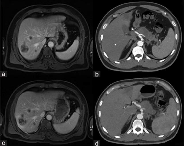
CAR-NK在胰腺癌治疗中初露锋芒

2020年,上海瑞金医院的研究团队在《癌症研究与治疗杂志》发表了一项创新性临床案例:他们采用Robo1特异性CAR-NK细胞疗法成功治疗了一位胰腺导管腺癌患者。

这位患者确诊为胰腺导管腺癌(PDAC)并已发生肝转移,影像检查显示胰腺肿瘤体积达6cm×2.5cm×3cm,肝脏最大转移灶直径3.5厘米。

由于肿瘤已无法手术切除,且患者拒绝传统化疗方案,医疗团队为其制定了CAR-NK细胞免疫治疗方案。令人振奋的是,治疗后患者的胰腺原发灶和肝脏转移灶均得到有效控制。

以上数据和案例为CAR-NK疗法的安全性和有效性提供了强有力的证据。

结语

目前,CAR-NK细胞疗法已成为癌症治疗领域一个令人鼓舞的先进研究方向,为克服癌症治疗的困难开辟了一条新途径。凭借其固有的安全性、“现货型”的便利性、以及对抗实体瘤的潜力,它为我们勾勒出一幅更具包容性和可及性的癌症治疗的未来愿景。然而,这种疗法仍然面临挑战,如CAR-NK细胞的持久性和活性、肿瘤抗原的选择和大规模制备等问题,此外,一些研究还指出,CAR-NK治疗可能导致继发性肿瘤,这需要进一步的研究来预防这种情况。虽然未来的道路漫长,充满技术挑战,需要大量的临床验证,但随着技术的不断进步和深入研究,这些问题有望得到解决。未来,CAR-NK细胞疗法有望成为癌症治疗的重要手段,为全球数百万癌症患者带来新的曙光和生存希望。

评论列表

用户10xxx40
用户10xxx40 1
2025-09-28 20:37
oc